Pourquoi certains gènes de la trisomie 21 peuvent protéger des cancers

https://www.sante-decouverte.com/wp-content/uploads/imgsd/pourquoi-certains-genes-de-la-trisomie-21-peuvent-proteger-des-cancers_s.pngLes personnes atteintes de trisomie 21 ont beaucoup moins de risque de contracter une tumeur solide (sein, poumon, colon, prostate) que les autres. Cette protection serait due à un gène présent en trois exemplaires dans leurs cellules.

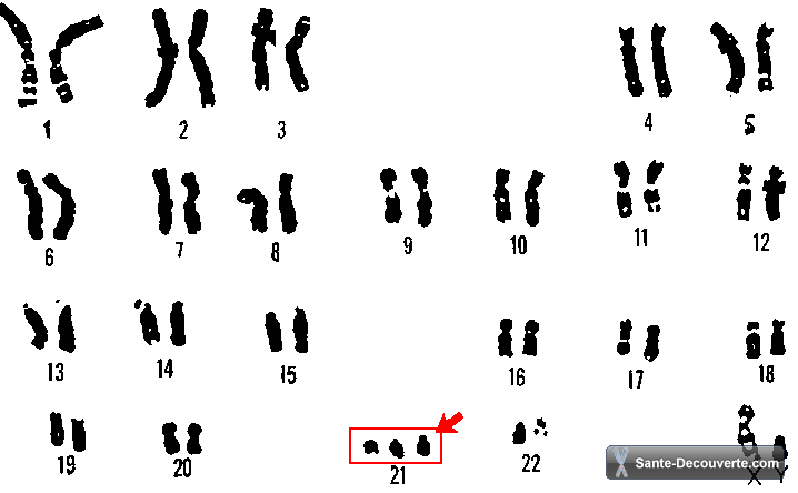
Le syndrome de Down, aussi appelé trisomie 21, est une maladie chromosomique congénitale provoquée par la présence du chromosome 21, surnuméraire et normal. Les trisomiques présentent un retard cognitif associé à des modifications morphologiques caractéristiques. La trisomie 21 est la cause la plus fréquente de déficience intellectuelle d’origine génétique chez les enfants d’âge scolaire.

Les chercheurs ont constaté que les trisomiques 21 bénéficient d’une protection contre les cancers solides, notamment ceux du sein et du colon. Cet état de fait, connu depuis une vingtaine d’années, n’est pas clairement expliqué.

« Les personnes atteintes de trisomie 21 possèdent trois exemplaires normaux des 350 gènes, environ, présents sur le chromosome 21. Il est probable que la surexpression de certains de ces gènes induisent cette protection » explique Jacqueline London, professeur de biologie moléculaire et chercheur à l’université Paris-Diderot et présidente de l’Association Française pour la Recherche sur la Trisomie 21 (AFRT), intéroogée par Sciences-et-Avenir.com.

Une confirmation de cette hypothèse est publiée dans la revue Nature du jeudi 21 mai. Les chercheurs de l’hôpital des enfants de Boston ont travaillé sur le gène Dscr1 qui code une protéine dont l’une des fonctions est de supprimer le facteur de croissance endothélial vasculaire (VEGF) responsable de la croissance de nouveaux vaisseaux sanguins, un phénomène appelé angiogénèse, notamment autour des tumeurs.

Ils ont montré, grâce à plusieurs modèles de souris permettant de mieux comprendre le rôle des gènes du chromosome 21, que le fait d’avoir une copie supplémentaire de Dscr1 suffit à ralentir la croissance du cancer (carcinomes du poumon et de mélanomes). Dscr1 semble fonctionner en synergie avec un autre gène du chromosome 21, Dyrk1a, en limitant le processus qui permet aux tumeurs cancéreuses de développer leur propre système vasculaire. Ce gène est actuellement étudié par une équipe française sous la direction du docteur Jean Maurice Delabar de l’Université Paris-Diderot.

« L’angiogénèse est un facteur clé de la progression des tumeurs. Sans ce réseau d’artères et de veines, assurant l’apport de nutriments et d’oxygène, elles ne peuvent survivre. Cinq ou six gènes présents sur le chromosome 21 sont impliqués dans ce processus. Leur étude permettra de mieux comprendre les cancers et de développer des pistes pharmacologiques dont certaines sont déjà en cours» précise Jacqueline London.

Ces résultats expliquent, en partie, la protection qu’ont les personnes atteintes de trisomie 21 vis à vis de certains cancers et ouvrent donc de nouvelles perspectives de recherche en oncologie.

Ils prouvent également, comme le souligne J.London que « la compréhension des grandes pathologies ne vient pas forcément de la où on l’attend. L’étude de la trisomie 21 peut donc conduire à des découvertes sur les cancers et peut livrer des pistes concernant d’autres pathologies auto-immunes ou la maladie d’Alzheimer. »



Source : NouvelObs Santé

Laisser un commentaire

Votre adresse e-mail ne sera pas publiée. Les champs obligatoires sont indiqués avec *